张先生阿尔茨海默症典型病例治愈简介: 2019年4月16日接诊。接诊地点:北京石景山八大处中西医结合医院贾学铭教授诊室。 患者:张先生男71岁 头晕多年,近3年经常头晕头痛,近一年病情渐渐加重,记忆障碍严重减退,对事情过后即忘,当天上午吃的的早餐不记得,过后又要吃早餐等,对刚刚放下的物品回头即忘,经北京多家大医院诊断为:阿尔茨海默症,经过多种方法治疗无效,而来要求治疗。2019年4月16日北京八大处中西医结合医院核作磁共振显示:多发性脑梗塞,脑萎缩,给以纯中药治疗经过57天,头晕头痛消失,记忆恢复正常,对近3天的早餐记得非常清楚,以前忘记的事情也想得清楚,肢体麻木消失,行走活动正常,面部的老年斑也渐渐消退,精神非常好。2019年7月9日北京八大处中西医结合医院做核磁共振与治疗前2016年4月16日的影像比较,显示:多发性脑梗塞明显消失,脑萎缩明显恢复。治疗结果:阿尔茨海默症病情治愈。以下是核磁共振片治疗前后的对比: 张先生阿尔茨海默症治愈前后拍核磁共振片比较,要观察细节: 
治疗前脑萎缩严重明显(原始整张片)。 治疗后脑萎缩明显恢复(原始整张片)。
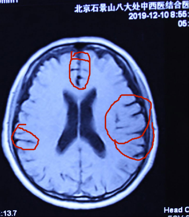
张先生核磁共振片其中单图的治疗前后比较: 
2019年4月16日前见片治疗脑萎缩严重。病情严重。 2019年7月9日治疗后见片脑萎缩减轻。病情治愈。 
脑组织逆生长的情况见左右两个图内红圈相对等部位的比较,圈内白色的部分是脑组织,圈内黑色的部分是没有脑组织了是萎缩后空缺的现象,黑色越多脑萎缩越严重,白色越多脑组织越多,脑组织多了,就是改变了脑萎缩,就是脑组织逆生长,因此,通过中药使脑组织逆生长就消除了和治愈了脑部的疑难病。该患者的阿尔茨海默症通过纯中药达到了脑组织逆生长,患者的记忆障碍就正常了,病情就治愈了。 实践证明阿尔阿尔茨海默症的发病,不仅是现代医学认为的海马体萎缩的问题,是脑部整体出现了问题,也不是不可治愈的疾病,是能够治愈的。我们经过几十年的研究探讨创新,用纯中药治愈阿尔茨海默症是科学的真实有效的!只要是脑组织逆生长,阿尔茨海默症就必然能够治愈。 |